Casi clinici
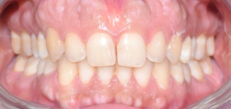
Terapia con apparecchio invisibile per 8 mesi - chiusura diasterna
Terapia con apparecchio invisibile per 18 mesi, creazione spazi implantari e recupero elemento 12 palatale
Paziente con asimmetria trattato con 18 mesi di ortodonzia fissa bimascellare.
Paziente trattato con ortodonzia tradizionale fissa bimascellare per 20 mesi.
Paziente trattato con ortodonzia fissa bimascellare per 20 mesi.







